菜单
CRO Services

Drug Development Expertise Empowering Research Services for Biologics

Single B Cell


Versatile Single B Cell Technology for Multi-Species Antibody Discovery

WuXi Biologics’ single B cell screening platform is powered by Bruker’s Beacon Optofluidic technology. With a proven track record of delivering 100+ successful projects, this cutting-edge platform enables rapid antibody discovery from a wide range of host species with high versatility and flexibility, supporting a broad spectrum of therapeutic targets.

 

Key Features of Single B Cell Technology:

  • Multiplexed, function-first screening of antibodies from human, mouse, rat, rabbit, camelid, chicken, and more
  • Ultra-high-throughput screening of over 20,000 primary B cells per day
  • Accelerated discovery with antibody sequences obtained in two weeks
  • High sequence recovery rate, with over 90% of recombinant antibodies retaining original binding and functional profiles after initial screening

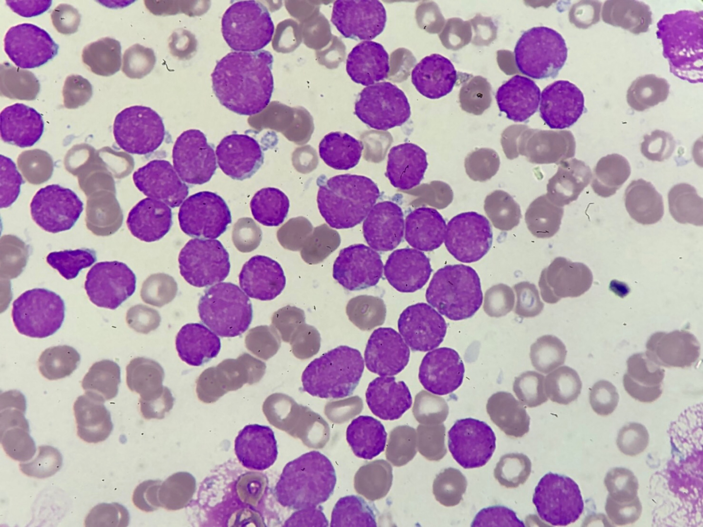
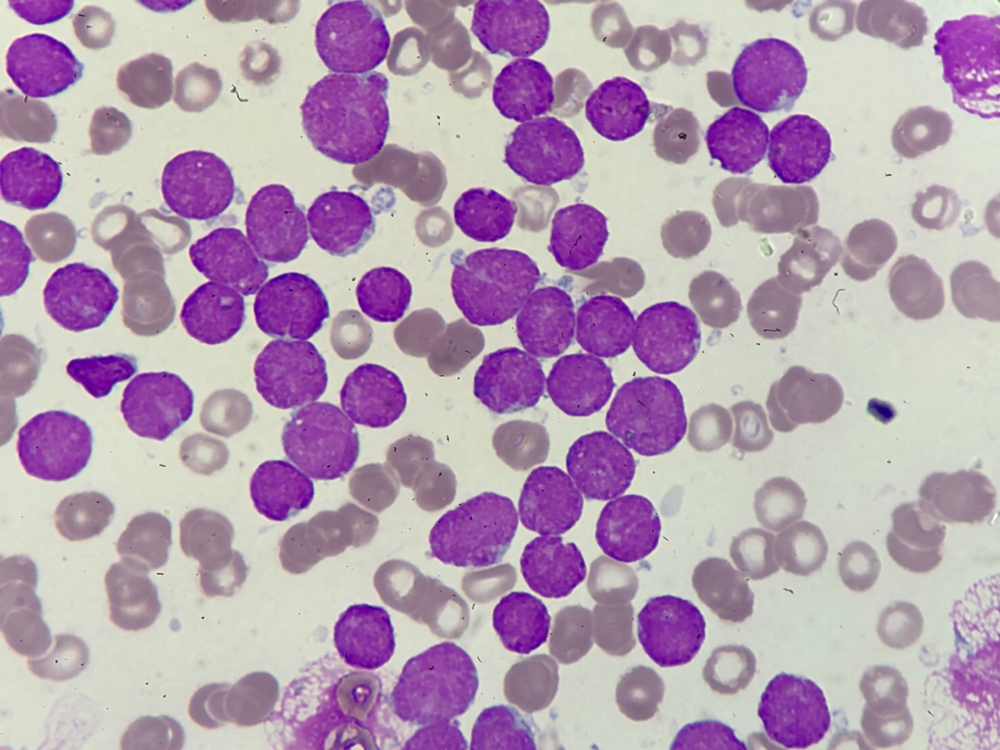
Microscopy image of single B cells for antibody sorting and screening.

Single B Cell Technology with advanced targeting binding assays, ligand blocking assays, and report gene assays.

Single B Cell Service Details:

Service Item Turnaround Time Request A Quote 
Immunization 4-12 weeks Request A Quote
On-Chip Screening 1 day
Single B Cell Sequencing 1-2 weeks

Case Study #1: High-Affinity Antibody Discovery Using Rabbit Single B Cell Screening

We utilized rabbit single B cell screening to discover high-affinity monoclonal antibodies with superior binding kinetics and functional properties compared to benchmark antibodies. Through high-throughput SPR screening and functional assays, lead mAbs demonstrated exceptional binding characteristics and enhanced inhibitory activity.

 

High-throughput (HTP) SPR screening for single B cell-derived antibody discovery, illustrating a broad range of affinity distributions among screened antibodies.

Figure A: High-throughput (HTP) SPR screening for single B cell-derived monoclonal antibodies, illustrating a broad range of affinity distributions among screened antibodies.

Function assay comparing inhibitory activity of lead and benchmark antibodies, with dose-response curves and IC50 values shown.

Figure B: Functional assays of lead mAbs (Lead 1D3 and Lead 1C6) compared to benchmark antibodies (BMK1 and BMK2), demonstrating superior binding affinity. Lead 1D3 and Lead 1C6 also exhibited improved binding affinity and higher inhibition potency compared to benchmark antibodies.

Case Study #2: Ultra-High-Throughput Single B Cell Screening for Rapid Monoclonal Antibody Identification

We leveraged ultra-high-throughput single B cell screening to identify monoclonal antibodies targeting a tumor-associated antigen (TAA) for ADC development. By screening over 20,000 B cells in a single day, this platform enabled the rapid identification of high-affinity, functionally diverse lead mAbs with great therapeutic potential. The selected leads demonstrated strong tumor cell binding, diverse epitope binning, and promising cytotoxicity when conjugated to MMAE.

 

Single B cell screening workflow and tumor cell binding by FACS showing multiple antibody leads vs. benchmark control.

Figure A: uHTP single B cell screening workflow, including B cell loading, mouse IgG detection, cell-based binding assays, and BCR sequencing. Tumor cell binding analysis by FACS showed high-binding affinity of multiple lead antibodies compared to the benchmark (BMK1).

Tumor cell cytotoxicity assay with Fab-MMAE conjugates show strong dose-dependent cytotoxicity.

Figure B: Tumor cell cytotoxicity assay with Fab-MMAE conjugates. Lead mAbs exhibited strong dose-dependent cytotoxicity, demonstrating great potential for ADC therapeutics development.

Epitope binning analysis of lead antibodies reveals diverse binding profiles for therapeutic development.

Figure C: Epitope binning analysis of lead antibodies, demonstrating diverse binding epitopes are isolated from the screening campaign for various therapeutic applications.

Case Study #3: Rapid Generation of High-Quality Anti-Idiotype Antibodies Through Single B Cell Platform

Anti-idiotype (anti-ID) antibodies are essential tools for PK assay development, drug quantification, and bioanalytical method development. Our single B-cell discovery platform rapidly generates high-affinity, drug-specific antibodies with excellent sequence recovery, enabling faster assay development.

In this graphic, we used single B cell discovery platform for rapid identification of high-affinity, drug-specific antibodies with high throughput screening.

Figure 1. Single B Cell–Based High-Affinity Anti-Idiotype Antibody Discovery. (A) Overview of our single B-cell anti-ID discovery workflow. Mice were immunized with the therapeutic antibody, and individual B cells were screened to identify high-affinity anti-ID antibodies. Sequences were quickly recovered and recombinantly expressed for evaluation. This project progressed from immunization to validation in ~3 months. (B) Functional assessment of selected anti-ID antibodies. 26 of 32 purified antibodies showed strong, dose-dependent binding to the target drug, with sub-nanomolar EC₅₀ values by ELISA. Two representative antibodies are shown. (C) Sandwich ELISA pairing identified several antibody pairs with double-digit picomolar detection sensitivity, confirming their suitability for highly sensitive PK assays. One representative pairing result is shown.

 

Your Project. Our Expertise.